全瓷冠是什麼?全瓷冠是以陶瓷製成的牙冠、假牙,一顆牙齒全瓷冠約落在2.5~4萬,因使用壽命可達10~20年以上,且舒適、美觀,而成為近年假牙首選!本文將詳細介紹全瓷冠優缺點、療程、適合族群供你參考!
目錄 |
一、全瓷冠是什麼?3 大材質介紹
|
近似人體真牙的陶瓷材質已逐步成為牙齒美白療程的首選。除了討論度超高的「陶瓷貼片」,今天介紹的「全瓷冠」也很重要!米青品將帶你認識全瓷冠是什麼,並全面比較牙冠材質讓各位參考。
全瓷冠是為了保護受損的牙齒,而用陶瓷做成的一顆完整牙齒外殼,又名全瓷牙冠、全瓷假牙、陶瓷牙冠。
當牙齒因為蛀牙、斷裂、抽神經變得脆弱時,醫師會建議使用全瓷冠來保護受損的牙齒。全瓷冠就像是一頂量身訂做的安全帽,把真牙 360 度整顆包覆起來,以重建牙齒的外型、強度與美觀。
全瓷冠突破早年金屬牙冠、金屬烤瓷牙的限制,完美模擬真牙層次感及自然光澤,在防護性、耐用性、舒適性、美觀性、生物相容性等方面均有大大的提升,對於金屬過敏、希望外觀最大程度還原原牙的族群而言絕對是一大福音。
常見的全瓷冠材質可細分為玻璃陶瓷、全鋯冠、二氧化鋯全瓷冠3項。
名稱 | 全瓷冠 | ||
玻璃陶瓷 | 全鋯冠 | 二氧化鋯全瓷冠 | |
材質 | 二矽酸鋰 | 二氧化鋯 | 內部二氧化鋯;外面燒瓷 |
適用區域 | 前牙、小臼齒 | 後牙、咬合力大區域 | 前牙+後牙皆可 |
特色 | 透光度佳、可以與琺瑯質緊密貼合 | 硬度高、遮色效果好 | 耐用、堅硬、美觀不死白 |
是否過敏 | 否,機率極低 | ||
價格 | 中高 | 中 | 中高 |
美觀度 | 最接近真牙 | 美觀普通 | 高美觀 |
最早期的全瓷冠主要以玻璃陶瓷為主,其中最成熟、最穩定的就是二矽酸鋰。二矽酸鋰的最大特色是「透光性高、顏色層次自然、近乎真牙」,讓它成為前排牙齒的首選材質。雖然二矽酸鋰做出的全瓷冠漂亮,但強度大約只有 360–400 MPa,用在後牙或磨牙患者身上,長期咬合容易產生裂痕或斷裂風險。
為了解決強度不足的問題,就出現了另一種全瓷冠材料二氧化鋯。二氧化鋯的強度可達 900–1200 MPa,幾乎不容易斷裂,因此非常適合後牙、植牙牙冠、咬合力大的患者。但二氧化鋯全瓷冠外表上卻又不如二矽酸鋰美觀。
為了解決這個矛盾,牙科技師發明出了「分層鋯瓷」設計,用二氧化鋯做骨架,外層堆疊二矽酸鋰,成為了「二氧化鋯全瓷冠」,它同時具備鋯瓷的高強度,以及二氧化鋯的自然美感,成為了追求完美全瓷冠患者的第一選擇。
若原有牙齒斷裂及受損情況不嚴重、可依附的面積足夠,或是只有牙縫稍大、染色範圍僅牙齒表層等輕微外觀問題時,有機會以陶瓷貼片取代全瓷冠,在修磨量較少的情況下保留更多健康齒質。
不過若是原有牙齒過於脆弱、無法靠陶瓷貼片解決問題,可經醫師判斷進行全瓷冠療程,目前有9種常見狀況:


除了上述適合的條件,當然也有暫時不適用全瓷冠的情況,下列3狀況應交由專業醫師評估是否可以,或是另選擇合適時機進行全瓷冠療程:
米青品提供為您量身打造的牙齒美容相關療程,歡迎點擊下方預約你的自信笑容!
全瓷冠療程因應不同診所會有些微差距,大致上皆會經過以下6個程序:
在術前諮詢中,牙醫師會詳細了解患者的口內狀況,評估患者的牙齒、牙齦、咬合問題等,並確認是否需要拔牙、根管治療、蛀牙等相關療程。
牙醫師會與患者討論並制定詳細療程,包括材料選擇、預期效果等,此階段會透過口內掃描取得模型及完整資料,模擬理想的牙齒型態呈現實際樣貌,幫助患者更好想像療程結束後的成果。
在全瓷冠製作的過程中,患者可能需要佩戴一個臨時牙冠,臨時牙冠通常使用較不耐用的材料製作,主要作用為暫時替代牙齒功能,直到全瓷冠製作完成。
牙醫師會將患者的全瓷冠印模送至牙技師手上,由技師製作全瓷冠本體到上色,以便更貼合各項客製化需求。
待全瓷冠製作完成,患者會先進行全瓷冠試戴,待牙醫師確保全瓷冠的密合度、外觀和咬合正確無誤後,再使用特殊的黏合劑牢固地黏在牙齒上。
完成全瓷冠安裝後,患者需要遵循牙醫師的建議,適當地照顧口腔健康並定期的進行口腔檢查,以確保全瓷冠使用上毫無問題。


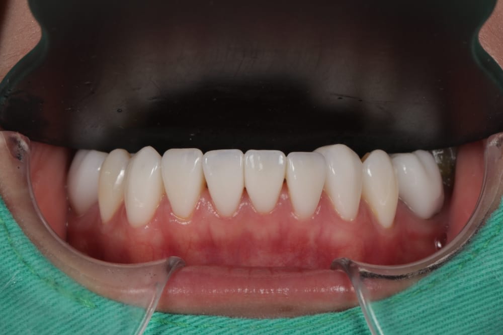
(⬆️施作完的全瓷冠牙齒,顏色會與原生牙齒相近。)
儘管全瓷冠有許多優點,但仍有一些要注意的部分。全瓷冠的缺點包括價格較高、對醫師技術的要求極高、可能因密合度不佳或清潔不足而引發二次蛀牙、牙齦問題。此外也要注意,即使全瓷材質具有高強度,仍屬於陶瓷結構,受到撞擊或大力咬合的話仍會有瓷裂或崩角的可能性。
即使存在上述缺點,全瓷冠仍是許多牙醫師在臨床上首選的修復方式,主要原因在於它能同時兼顧美觀與口腔健康。全瓷材質具有優異的透光性與色澤層次,能高度還原真牙外觀,同時不含金屬,生物相容性佳,能降低牙齦刺激與過敏風險。對於重視外觀自然度的患者而言,整體治療效益遠大於潛在缺點。
針對全瓷冠還是有問題想問嗎?本段米青品將常見問題通通整理給你,或許他人的問題也是你的疑惑,看看能否在此找到你欲尋求的答案:
全瓷冠價格通常是以「顆」為單位做計算,1 顆大約 25,000~40,000 元左右,雖然與陶瓷貼片的價格區間差不多,但也有可能因為陶瓷貼片本身因為要消磨得更薄、製作難度更高,而讓貼片價格稍微高一些。
如有興趣進一步了解,可參考「全瓷冠價格」文章喔!
全瓷冠的壽命可達10年、20年,甚至近永久都沒問題!只要做好術前的評估規劃、術後的清潔保養,維持良好的用牙習慣,都有助於拉長全瓷冠的使用年限。
一般來說,專業牙科診所皆會提供一定時長內的保固讓患者安心,不過這部分仍建議在療程前先與診所確認,不論是保固時長、保固範圍、保固條款等都應在術前協調完畢,以防有什麼意外發生在得來不易的全瓷冠牙齒上,如此才能多一層保障。
無論是原本的牙齒缺損,或者是因為根管治療而使牙齒喪失一些齒質,牙齒本身都會變得更為脆弱且容易斷裂。而為了預防已經搖搖欲墜的牙齒因過大的咬合力量,或是其他外力作用斷裂,做完根管治療的牙齒通常會善用全瓷牙冠,起到一定的保護效果。
正常情況下全瓷冠並不會有後遺症。即使出現牙周病、二次蛀牙、裂開鬆動、完全脫落等後遺症,大多數是因為患者並未尋找專業牙科診所施作,或是裝上全瓷冠之後沒有好好清潔所致。
如果牙齒已經嚴重或者完全消失,就需要進一步考慮植牙。簡而言之,植牙的目的在於「重建牙齒結構」,必須先補足缺乏的牙根再進行後續作業,而這個後續作業便是「在植牙的植體套上全瓷冠」來保護脆弱的牙齒,因此植牙和全瓷冠兩者也可以是相輔相成的!
全瓷冠本身擁有良好的色澤穩定度,正常使用下不會變色,但如有以下幾種狀況,就容易導致牙冠表面磨損、失去光澤:
另外,由於全瓷冠固定時需要使用特殊黏著劑,若黏著劑本身品質不佳,就有可能變色,影響整體外觀。
全瓷牙冠並不會影響進食,一開始裝全瓷牙冠可能會不太習慣,大約 1~ 2 週後,不適應的情形會明顯改善。當然,進食時仍要避免咀嚼硬物,否則即使全瓷牙冠沒有明顯損傷,其底下的真牙仍會受到損害。
米青品提供為您量身打造的牙齒美容相關療程,歡迎點擊下方預約你的自信笑容!
無論是全瓷冠或是陶瓷貼片療程,皆仰賴經驗豐富的醫師在合格、完善的診所評估口內情況,並依照個人化的方式進行設計,專業的全瓷冠諮詢推薦台中米青品牙醫診所。我們擁有最先進的瓷牙工藝程序,數位再進化成立數位美齒貼片專門中心,打造過上百位明星藝人、KOL笑容,用最新設備並交由經驗豐富的匠人團隊,米青品讓牙齒也能是你身上最受矚目的精品之一。


米青品4大特色,讓你可以放心將塑造自信笑容交給我們:




【職業經歷】


【職業經歷】


【職業經歷】


【職業經歷】


【職業經歷】


【職業經歷】
想要改善牙齒型態、進行牙齒美白,卻不清楚自己能夠採用陶瓷貼片還是全瓷冠療程嗎?米青品提供為您量身打造的牙齒美容相關療程,如有相關諮詢需求,歡迎點擊下方預約你的自信笑容。
延伸閱讀:
Meet a More Confident
& Beautiful Self

